Latest Contribution
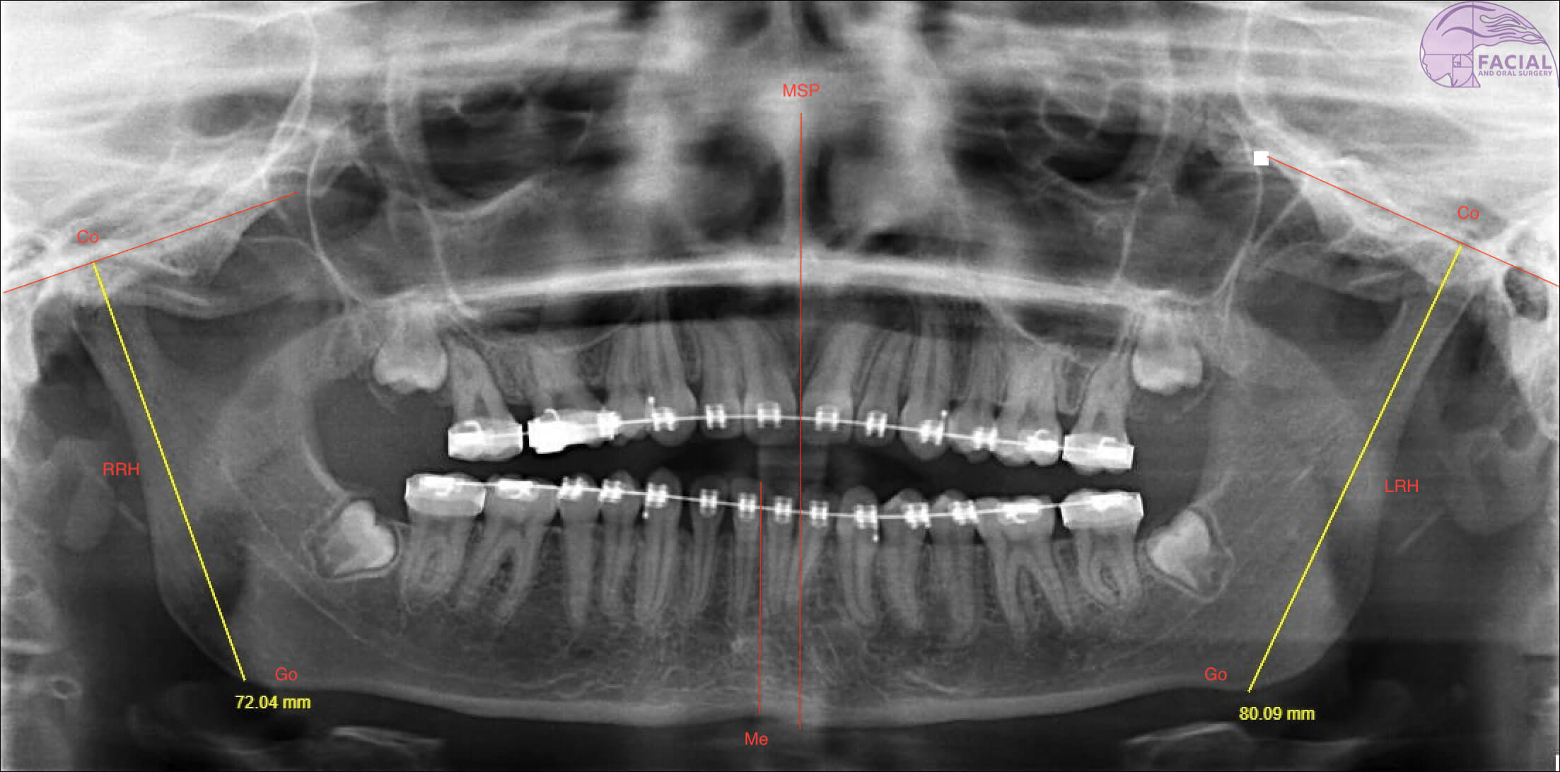
Mandibular asymmetry: Importance of personalised treatment
This article has been verified for CPD. Click the button below to answer a few short questions and download a form to be included in your CPD folder. Human facial symmetry is a key determinant for assessing facial attractiveness, and...

